티스토리 뷰
목차
박하선 씨가 흡인성 폐렴으로 인해 담배를 피우는 흡연자로 오해받았다는 뉴스가 나왔습니다. 저도 처음에 보고 흡'연'성으로 보았는데요. 흡인성 폐렴이 무엇인지 폐렴과는 무엇이 다른지 확인해 보겠습니다.

정의
흡인성 폐렴은 구강 분비물이나 병원성 세균이 집락된 위내의 분비물이 식도가 아닌 기관지를 통해 폐로 들어가 감염을 일으켜 폐에 염증이 발생하는 질환입니다. 식도암이나, 파킨슨병, 뇌졸중 환자와 같이 연하장애(삼킴 장애)가 있거나 치매나 알코올 섭취, 경련, 약물중독 등으로 의식이 저하되는 상황에서 흡인(마실 흡, 끌 인)이 일어날 수 있습니다.
또 신생아나 미숙아 등은 우유나 음식물을 흡인 하는 경우가 있습니다. 이런 일은 특히 영아가 똑바로 누운 자세에서 일어나기 쉽다고 합니다.

원인
흡인성 폐렴의 흔한 원인균으로는 황색포도상구균, 녹농균, 대장균, 그람음성간균 등입니다. 환자 구내에 있는 세균이 기관지로 흡인되는 것이 큰 원인입니다. 병원성 세균이 집락된 위내의 분비물이나 구강 내의 분비물이 식도가 아닌 기관지를 통해 폐로 들어가게 된다면 흡인성 폐렴이 반복적으로 동반될 수 있습니다.
증상
일반적인 폐렴과 같이 발열, 오한, 기침, 가래, 혈담, 호흡 곤란 등의 호흡기계 증상이 발생합니다. 그러나 노인의 경우에는 뚜렷한 호흡기계 증상 없이 발열, 오한, 식욕부진, 전신 쇠약 등의 전신 증상만 동반하기도 합니다.
신생아의 경우에는 호흡 곤란으로 인한 청색증이 나타나 손과 발끝이나 입술이 파래지는 증상이 나타날 수 있습니다. 또 고열과 기침이 있고 숨쉬기를 힘들어하기도 하니 이러한 증상이 있는 경우 병원을 방문하시기 바랍니다.

진단/검사
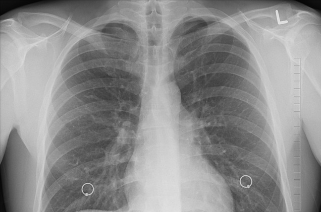
청진 시 수포음이 들릴 수 있습니다. 따라서 환자의 증상과 위험요인들을 종합적으로 판단하여 흡인성 폐렴이 의심되면 흉부 X-ray 검사를 합니다. 검사에서 음영이 보이면 폐렴으로 진단할 수 있습니다. 또한 혈액검사를 통해 전신 염증성 수치들의 증가를 확인하게 되며, 폐렴의 원인균 파악을 위해서 객담에서 객담배양검사를 시행하게 됩니다. 추가적으로 흉부 전산화 단층촬영(CT)을 하여 진단을 확인을 하기도 합니다.

치료
흡인성 폐렴도 일반적인 폐렴과 치료 방법이 다르지는 않습니다. 환자에게 적절한 항생제를 투여하며, 객담 배양 검사를 통해 원인균이 확인되면 이에 맞게 항생제를 조정합니다.
이렇게 하여 추가적인 흡인이 발생하지 않도록 하는 것이 중요합니다. 경우에 따라 다르지만 일반적으로 항생제는 1~2주 정도 투여한다고 합니다. 호흡 곤란이 심한 경우 기도 삽관을 할 수도 있습니다.
경과/합병증
흡인성 폐렴은 적절한 치료를 조기에 받으면 1~2주 내에 회복하게 된다고 합니다. 그러나 어린 아이나 고령의 환자, 또는 전신상태가 좋지 않을 경우에는 호전 속도가 느릴 수 있습니다. 또 다른 기저 질환이 있는 경우 치료가 어렵거나 흡인성 폐렴 반복될 수 있습니다.

구강 흡인이 반복되는 환자의 경우 입으로 음식물을 섭취하는 것을 중단해야 합니다. 삼킴 장애 여부를 확인하기 위해 비디오 투시 연하 검사(videofluoroscopic swallowing study, VFSS)를 시행할 수 있습니다.
예방방법
연하곤란(삼킴 장애)이 있거나 폐흡인의 위험성이 있는 환자들은 위에서 언급한 연하곤란(삼킴 장애) 검사를 시행하는 것이 필요합니다. 검사를 통해 흡인성 폐렴의 위험도가 높다고 판단이 된다면, 입으로 음식물을 섭취하는 것보다는 비위관을 통해 음식물을 공급하는 것이 필요합니다.
구강 내 세균이 집락되어 폐로 흡인되는 경우 흡인성 폐렴을 일으킬 수 있는 원인이 될 수 있으므로 항상 구강 세정기, 치간 세정기 등을 활용한 꼼꼼한 양치로 구강 내 청결을 유지하는 것이 중요합니다.
'건강' 카테고리의 다른 글
| 배우자, 남편 출산휴가 유급 급여 신청 대상, 신청하기 (0) | 2024.06.19 |
|---|---|
| 뎅기열 유행, 증상, 치료방법, 유럽 (0) | 2024.06.17 |
| 입냄새 원인과 해결책, 유산균 (0) | 2024.06.15 |
| 비문증, 눈에 날파리, 원인, 검사, 레이저, 치료제 (1) | 2024.06.14 |
| 서울대, 세브란스, 성모병원 병원 집단 휴진 병원, 휴진 불참 단체 (0) | 2024.06.14 |